Odkryj moc pięknego uśmiechu z bondingiem kompozytowym

Szybka, bezbolesna metamorfoza Twojego uśmiechu w Dental City. Nowoczesne techniki, estetyka na najwyższym poziomie, efekty widoczne od razu.

Konsultacja z ekspertem od uśmiechu

Dlaczego pacjenci wybierają bonding w Dental City?

Ponad 10 lat doświadczenia

"Tysiące zadowolonych pacjentów"

Najnowsze technologie

"Nowoczesny sprzęt i materiały najwyższej jakości"

Gwarancja estetyki

"Do 24 miesięcy  gwarancji na bonding"

Atrakcyjne ceny

"Możliwość płatności ratalnej"

Ponad 10 lat doświadczenia

"Tysiące zadowolonych pacjentów"

Najnowsze technologie

"Nowoczesny sprzęt i materiały najwyższej jakości"

Gwarancja estetyki

"Do 24 miesięcy  gwarancji na bonding"

Atrakcyjne ceny

"Możliwość płatności ratalnej"
  • Czy Twój problem to także nasz obszar specjalizacji?

    PROBLEMY: Niechętnie się 
uśmiechasz z powodu przebarwień? 

    • Nieestetyczne przerwy między zębami (diastema)? 
    • Drobne ukruszenia lub pęknięcia zębów? 
    • Nierówny kształt lub wielkość zębów? 
    • Wrażliwość zębów na zimno i ciepło?
  • Czy Twój problem to także nasz obszar specjalizacji?

    ROZWIĄZANIA: Doskonały biały odcień zębów

    • Zamknięcie przerw między zębami
    • Odbudowa naturalnego kształtu zęba
    • Idealna harmonia uśmiechu
    • Wzmocnienie i ochrona zębów
  • Kompleksowe usługi bondingu - od pojedynczego zęba do pełnej metamorfozy uśmiechu

  • Bonding kompozytowy

    Szybka i skuteczna metoda poprawy wyglądu zębów. Idealne rozwiązanie na przebarwienia, pęknięcia i nieprawidłowy kształt.

    Efekty:
    • Efekt natychmiastowy
    • Bezbolesny zabieg
    • Brak ingerencji w strukturę zębów
    Zobacz szczegóły bondingu
  • Bonding na przednie zęby

    Specjalistyczne podejście do estetyki zębów przednich. Naturalny wygląd i idealne dopasowanie koloru.

    Efekty:
    • Perfekcyjna estetyka
    • Odporność na przebarwienia
    • Hollywood smile
    Chcę piękny uśmiech
  • Bonding korekcyjny

    Korekta kształtu, wielkości i proporcji zębów. Bezinwazyjna alternatywa dla licówek porcelanowych.

    Efekty:
    • Precyzyjne modelowanie
    • Zachowanie zdrowej tkanki zęba
    • Natychmiastowy efekt
    Popraw swój uśmiech
  • Bonding rekonstrukcyjny

    Odbudowa ukruszonych lub uszkodzonych zębów z zachowaniem naturalnego wyglądu.

    Efekty:
    • Pełna funkcjonalność
    • Wzmocnienie struktury zęba
    • Estetyka na lata
    Odbuduj swój ząb
  • Bonding wypełniający

    Estetyczne wypełnienia ubytków z materiałów kompozytowych w kolorze zęba.

    Efekty:
    • Niewidoczne wypełnienie
    • Odporność na ścieranie
    • Komfort żucia
    Wypełnij ubytek estetycznie
  • Bonding ochronny

    Zabezpieczenie zębów przed dalszym uszkodzeniem i nadwrażliwością."

    Efekty:
    • Redukcja nadwrażliwości
    • Redukcja nadwrażliwości
    • Długotrwały efekt
    Chroń swoje zęby
  • Jak przebiega zabieg bondingu w DentalCity?

    01

    Konsultacja

    Analiza i plan zabiegu
    02

    Projekt

    Dobór koloru i 
planowanie estetyki
    03

    Zabieg

    Precyzyjne nałożenie i modelowanie kompozytu
    04

    Finisz

    Polerowanie i adaptacja nowego uśmiechu

    Nasze realizacje mówią więcej niż słowa

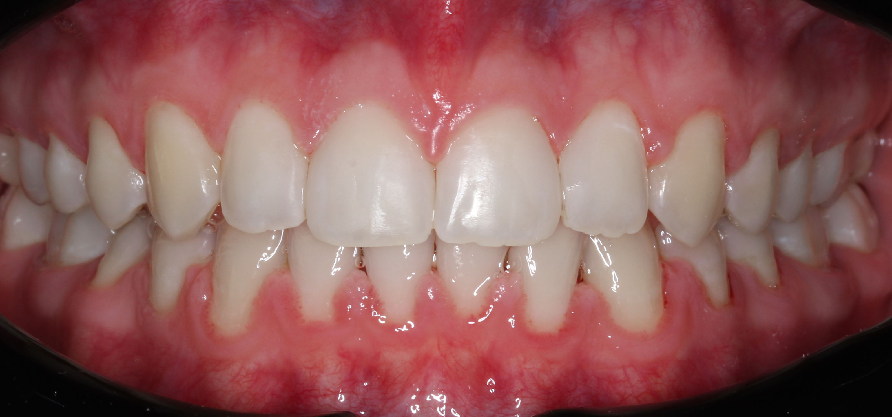
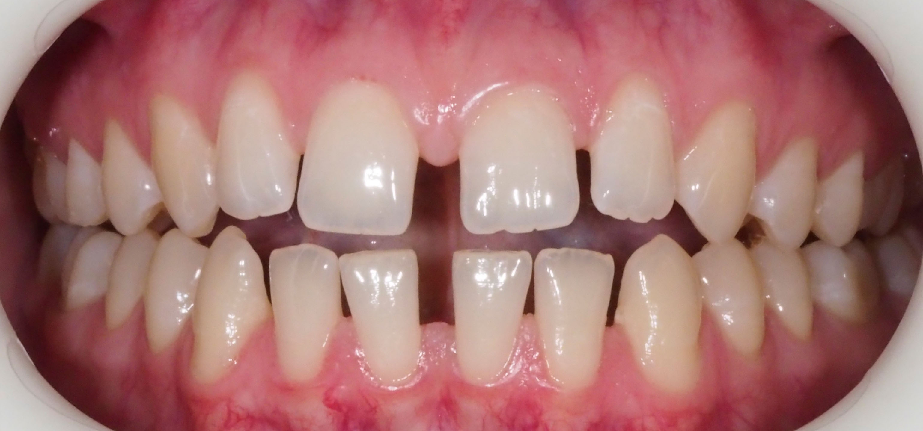
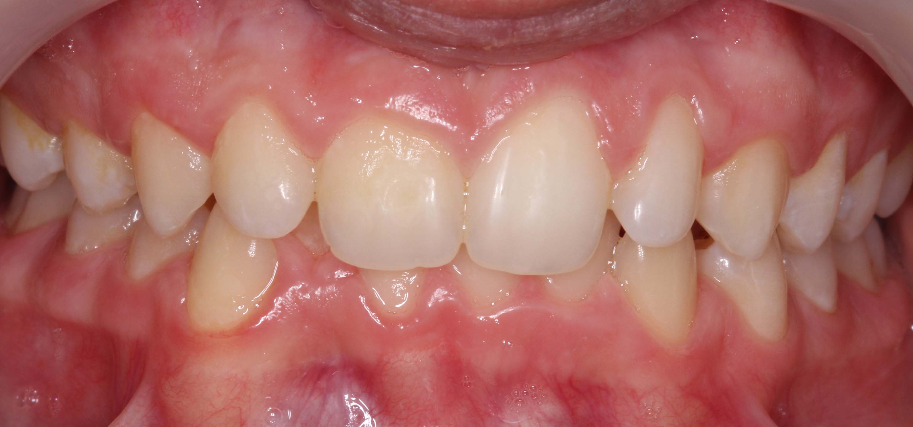
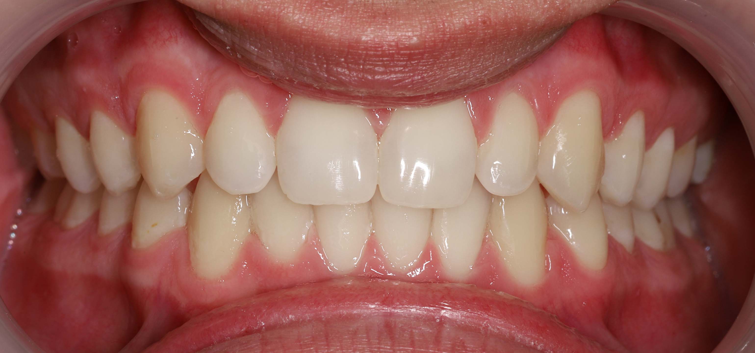
  • ❌ Problem: Ukruszone i odbarwione zęby. ✅ Rozwiązanie: Bonding rekonstrukcyjny. Odbudowa ukruszonych lub uszkodzonych zębów z zachowaniem naturalnego wyglądu.
  • ❌ Problem: Ukruszone i odbarwione zęby. ✅ Rozwiązanie: Bonding rekonstrukcyjny. Odbudowa ukruszonych lub uszkodzonych zębów z zachowaniem naturalnego wyglądu.
  • ❌ Problem: Ukruszone i odbarwione zęby. ✅ Rozwiązanie: Bonding rekonstrukcyjny. Odbudowa ukruszonych lub uszkodzonych zębów z zachowaniem naturalnego wyglądu.
  • Mity i fakty o bondingu

  • MIT 1:

    Bonding wygląda sztucznie i łatwo odlatuje.
    Fakt:

    Klamka zapadła! To mit z czasów, gdy materiały były gorszej jakości.. Dziś pracujemy na kompozytach nano-hybrydowych, które dosłownie łączą się ze strukturą zęba. Nasi lekarze to artyści – modelują materiał warstwa po warstwie, dopasowując kolor, przezierność i teksturę.

  • MIT 2:

    To boli i na pewno niszczy zdrowy ząb.
    Fakt:

    Absolutna nieprawda! Większość zabiegów bondingu wykonujemy bez żadnego znieczulenia. To Ty o nim decydujesz, jeśli czujesz jakikolwiek dyskomfort. Co najważniejsze – bonding to zabieg bezinwazyjny. W przeciwieństwie do licówek, tutaj nie szlifujemy zęba na stałe. Robimy to minimalnie lub wcale, co oznacza, że w każdej chwili możesz wrócić do stanu wyjściowego.

  • MIT 3:

    Z takim 'naklejką' na zębie nie da się normalnie jeść.
    Fakt:

    Jeszcze jak! Po bondingiem możesz jeść, gryźć i uśmiechać się bez żadnych ograniczeń. Traktuj go jak swój naturalny ząb. Jedyna zasada to zdrowy rozsądek – unikaj otwierania zębami butelek, gryzienia twardych orzechów czy kostek lodu. Ale tego i tak nie powinno się robić, prawda?

  • MIT 4:

    Szybko straci kolor i żółknie jak stare plomby.
    Fakt:

    To mit z epoki PRL-u! Nowoczesne kompozyty są niezwykle odporne na przebarwienia z kawy, herbaty czy wina. Sekret? Poza samym materiałem, jest nasza technika końcowego polerowania. Doprowadzamy powierzchnię bondingu do “lustrzanej” gładkości , co sprawia, że barwniki nie powoduja odbarwień.

  • Najczęściej zadawane pytania o bondingu

    Czy bonding jest widoczny i czy każdy będzie wiedział, że go mam?
    Nie. Nowoczesny bonding jest praktycznie niewidoczny. Materiał kompozytowy dobieramy precyzyjnie do naturalnego odcienia Twojego szkliwa, dzięki czemu zęby wyglądają zdrowo i estetycznie, a efekt jest bardzo naturalny.
    Jak długo trwa wykonanie bondingu? 
    Bonding to procedura gabinetowa, co oznacza, że pomijamy etap laboratorium protetycznego. Czas przeważnie zależy od tego, jak wiele zębów poddajemy korekcie.
    Czy zabieg bondingu boli?
    Zdecydowanie nie. Bonding jest całkowicie bezinwazyjny. Nie wymaga szlifowania zdrowego szkliwa, dlatego w większości przypadków nie ma nawet potrzeby stosowania znieczulenia.
    Ile kosztuje kompletna metamorfoza uśmiechu bondingiem?
    Koszt jest indywidualny i zależy od liczby zębów oraz zakresu zmian. Bonding jest jednak znacznie tańszą alternatywą dla licówek porcelanowych. Dokładną wycenę przygotujemy dla Ciebie podczas konsultacji wstępnej.
    Jakie są różnice między bondingiem a licówkami? 
    Bonding wykonujemy z kompozytu bezpośrednio w gabinecie podczas jednej wizyty. Jest tańszy i odwracalny, a licówki porcelanowe wymagają współpracy z laboratorium i delikatnego oszlifowania zęba, ale są trwalsze i odporne na przebarwienia.
    Czy mogę jeść wszystko z bondingiem? 
    Tak, ale z zachowaniem zdrowego rozsądku. Zalecamy unikanie gryzienia bardzo twardych przedmiotów (np. lodu, orzechów w skorupkach) oraz ograniczenie produktów silnie barwiących (kawa, wino), aby jak najdłużej utrzymać idealny kolor kompozytu.
    Jak długo służą materiały kompozytowe? 
    Efekt bondingu utrzymuje się zazwyczaj od 4 do 6 lat. Trwałość zależy od Twoich nawyków higienicznych oraz regularnego polerowania zębów w gabinecie (średnio raz na pół roku).
    Czy oferujecie gwarancję na wykonane prace?
    Tak. Zapewniamy pełną opiekę pozabiegową i gwarancję na trwałość wiązania materiału. Warunkiem jej zachowania są regularne przeglądy stomatologiczne oraz stosowanie się do zaleceń higienicznych.

    Co nasi pacjenci mówią o bondingu?

  • Jan Kowalski


    "Kompletny profesjonalizm, 
z przyjemnością znowu patrzę na mój uśmiech"

  • Jan Kowalski


    "Kompletny profesjonalizm, 
z przyjemnością znowu patrzę na mój uśmiech"

  • Jan Kowalski


    "Kompletny profesjonalizm, 
z przyjemnością znowu patrzę na mój uśmiech"

  • Jan Kowalski

    "Kompletny profesjonalizm, 
z przyjemnością znowu patrzę na mój uśmiech"

  • Jan Kowalski

    "Kompletny profesjonalizm, 
z przyjemnością znowu patrzę na mój uśmiech"

  • Jan Kowalski

    "Kompletny profesjonalizm, 
z przyjemnością znowu patrzę na mój uśmiech"

  • Poznaj naszych ekspertów od estetyki uśmiechu

  • Jan Kowalski Stomatolog
  • Jan Kowalski Stomatolog
  • Jan Kowalski Stomatolog
  • Jan Kowalski Stomatolog
  • Gotowy na metamorfozę twojego uśmiechu?

    Nie czekaj dłużej. Każdy dzień z pięknym uśmiechem to nowa pewność siebie.