Zobacz, jak pomogliśmy
naszym Pacjentom.

Metamorfoza uśmiechu to kompleksowy proces, który ma na celu poprawę wyglądu i funkcji Twojego uśmiechu. W ramach takiej metamorfozy można poprawić ustawienie zębów oraz skorygować ich kształt i kolor. Cały proces jest indywidualnie dopasowany do potrzeb i oczekiwań pacjenta, a jego celem jest uzyskanie naturalnego, harmonijnego i trwałego efektu. To jak odświeżenie i odnowienie swojego uśmiechu, które dodaje pewności siebie i sprawia, że chętniej się uśmiechasz!

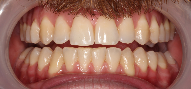
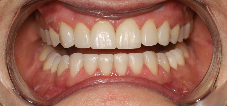
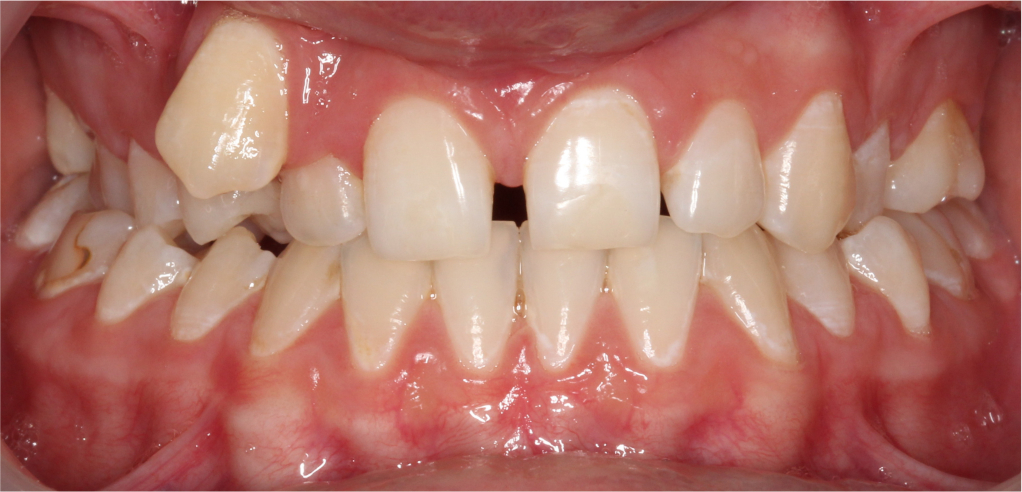
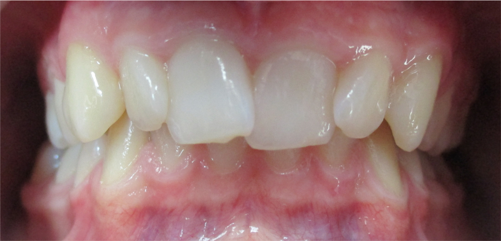
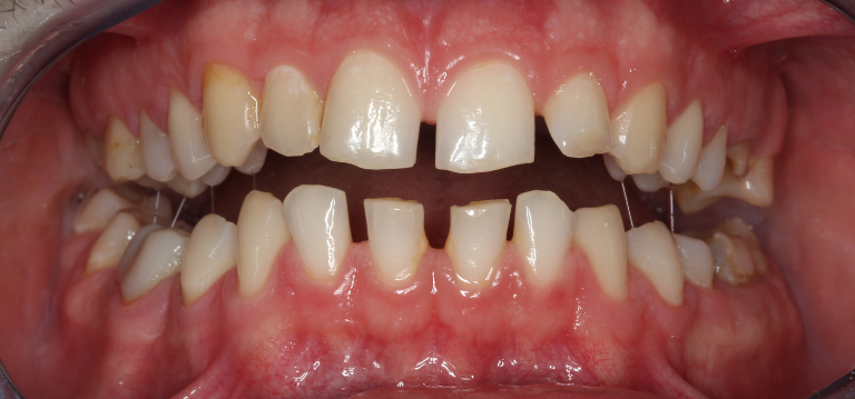
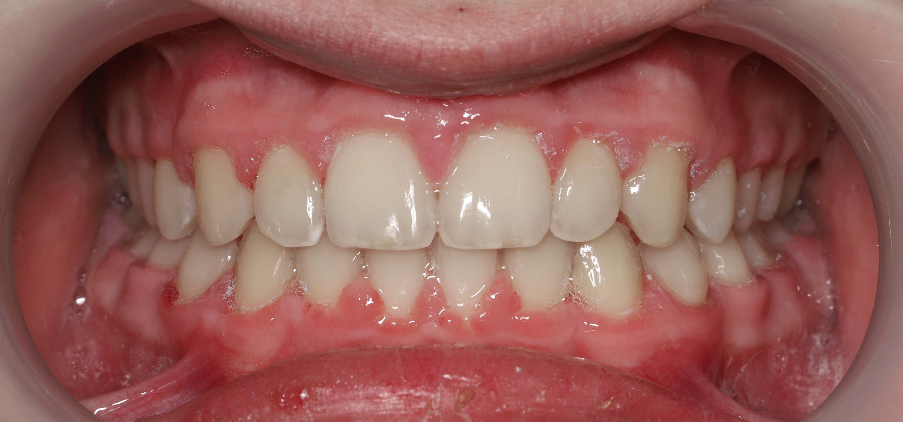
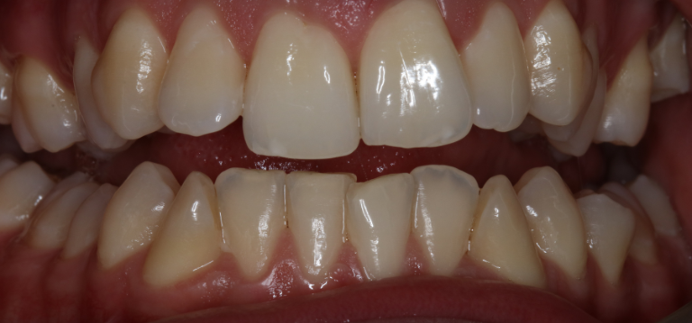
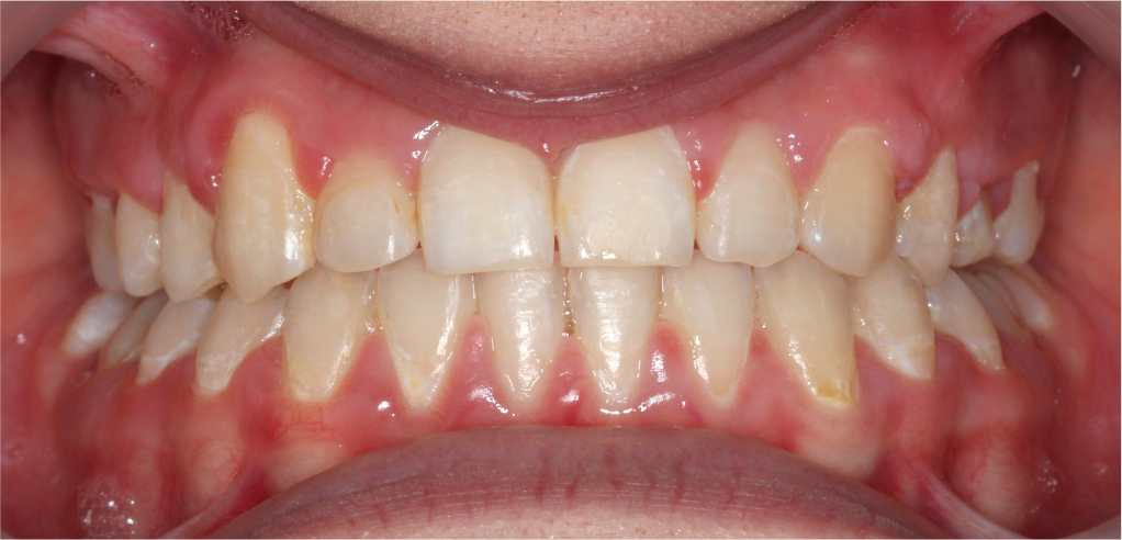
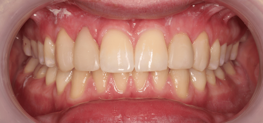
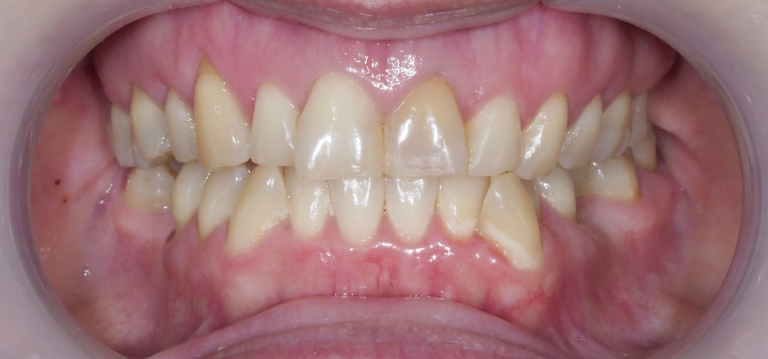
Pacjentka leczona aparatami stałymi w celu zniwelowania szparowatości w łukach zębowych i uzyskania symetrii w stawach skroniowo-żuchwowych. Po leczeniu ortodontycznym wykonaliśmy odbudowy stomatologiczne uzyskując piękny harmonijny efekt.

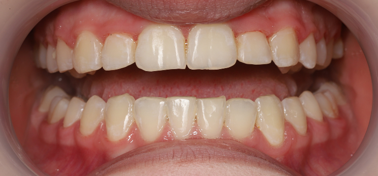
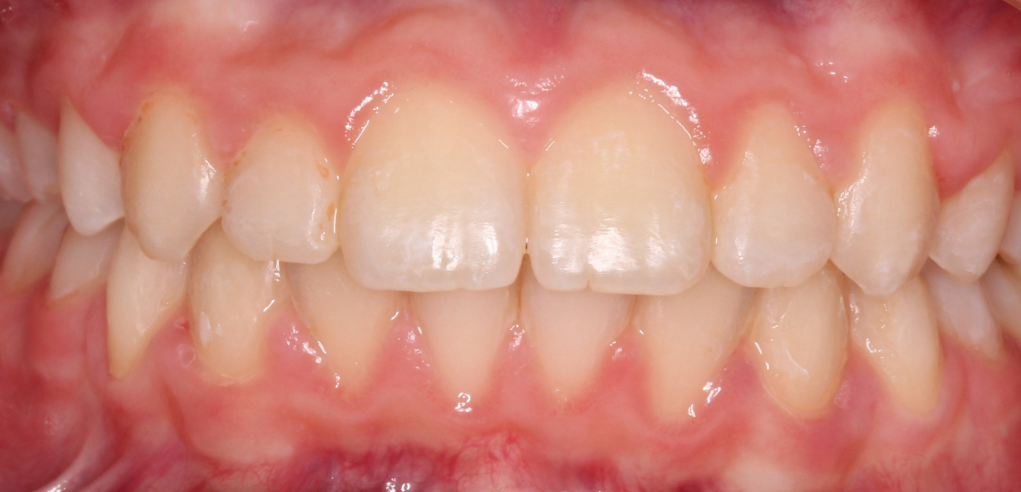
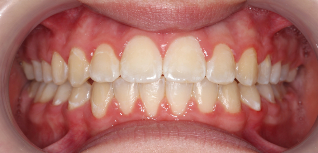
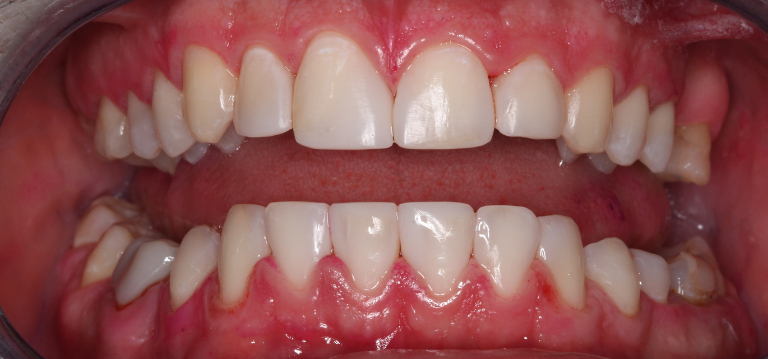
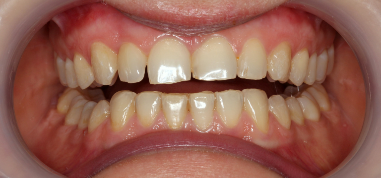
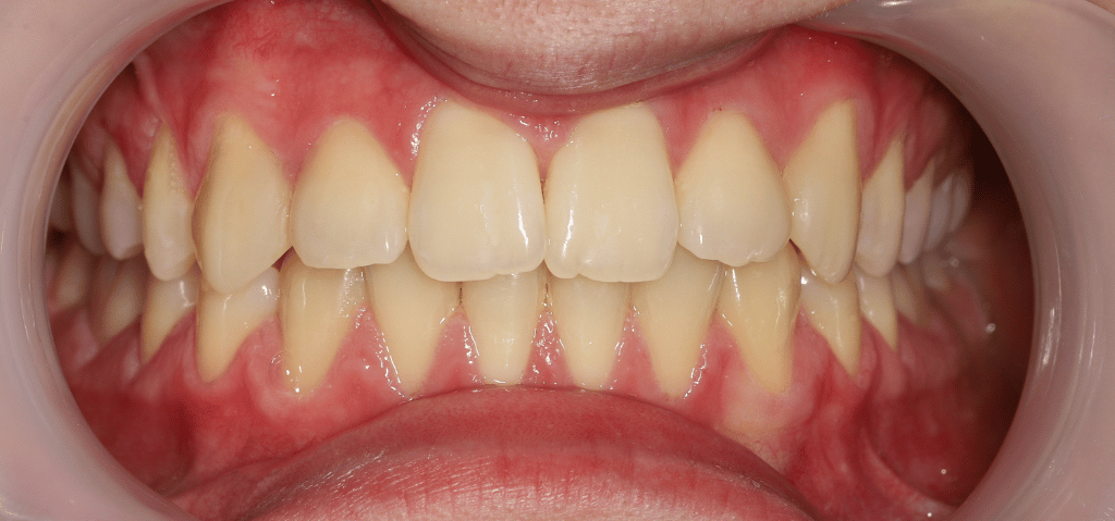
Pacjentka leczona aparatem invisalign przez okres 2 lat, główne wyzwania to zwężenie łuków zębowych, retruzja siekaczy górnych i stłoczenie siekaczy dolnych. Po leczeniu ortodontycznym wykonane zostały korony ceramiczne i odbudowy metodą flow injection uzyskując piękny i funkcjonalny uśmiech.

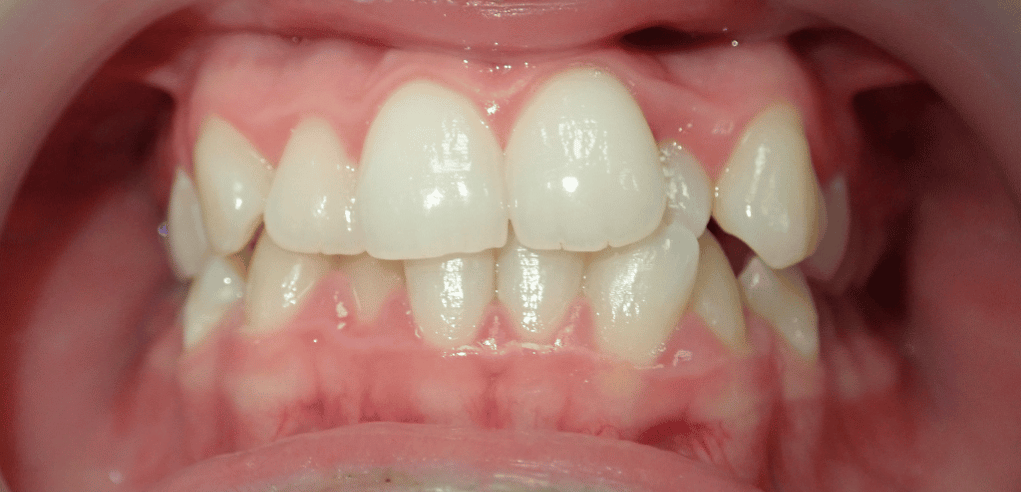
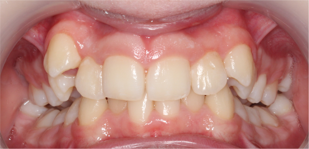
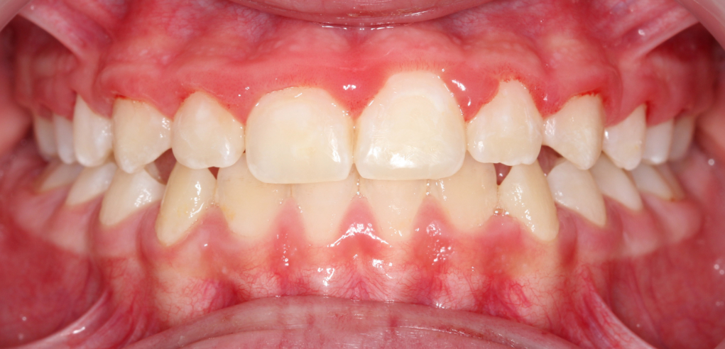
Antosia - zdjęcie przed
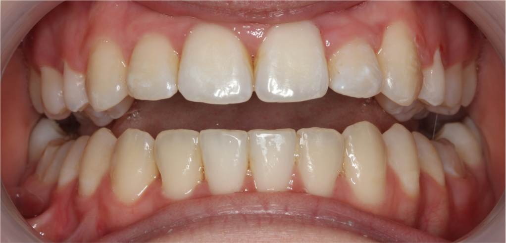
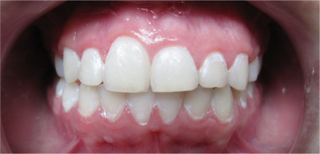
Antosia - zdjęcie po

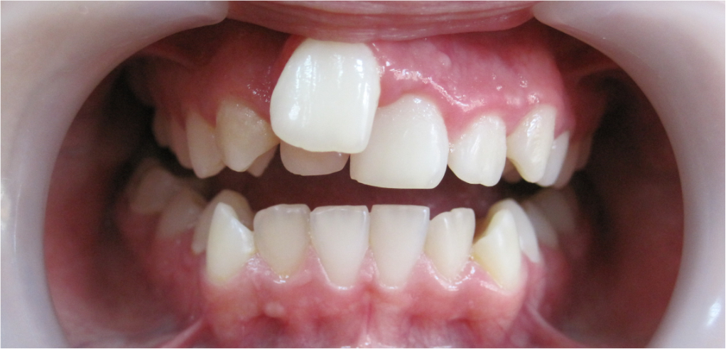
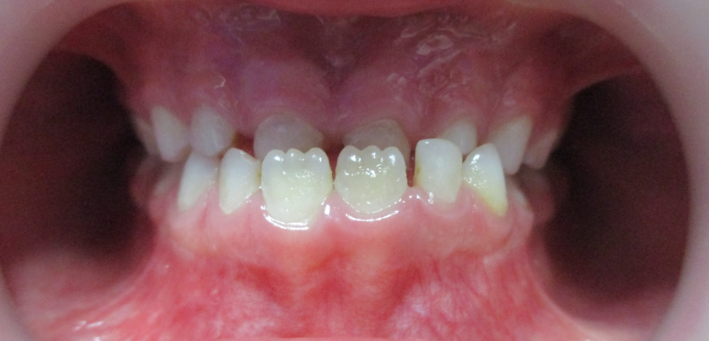
Pacjentka lat 10, przodozgryz, leczona nieskutecznie aparatem ruchomym. Leczenie: Aparat stały (tylko górny) w celu rozbudowy łuku we wszystkich kierunkach. Czas leczenia: 14 miesięcy.

Pacjent leczony ortodontycznie przez okres zaledwie 16 miesięcy. Głównym założeniem leczenia było zamknięcie szpar w obydwu łukach zębowych. Po zakończonym leczeniu ortodontycznym wykonano zabieg plastyki dziąseł, a następnie odbudowy estetyczne (bonding).

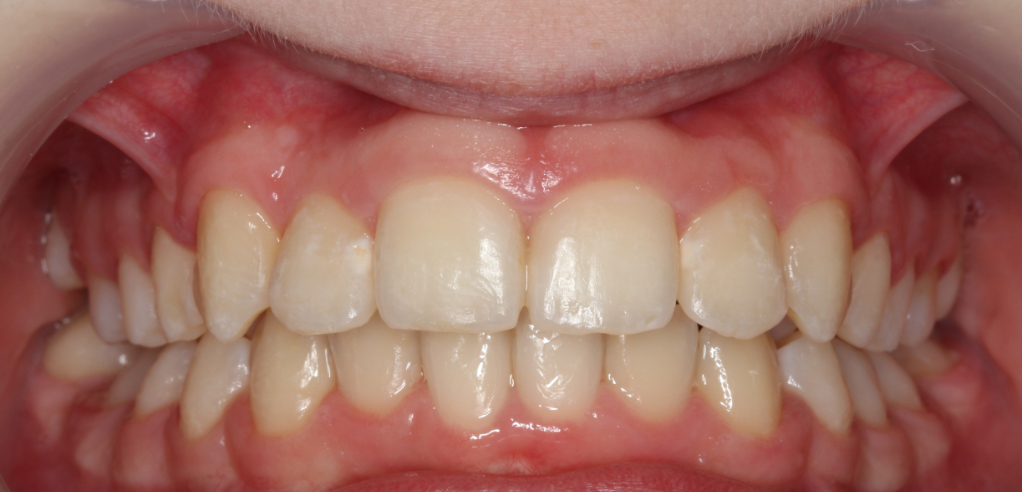
Pacjentka leczona około dwóch lat stałymi aparatami ortodontycznymi. Na okres 4 miesięcy wprowadzono do leczenia płytkę  do podniesienia zwarcia w celu  wyprowadzenia górnej dwójki ze zgryzu krzyżowego. Duża motywacja Pacjentki zaprocentowała naturalnym, harmonijnym uśmiechem.

Przedstawiamy piękną metamorfozę Pacjentki, która obejmowała kompleksowe działania estetyczne. Po zakończeniu leczenia ortodontycznego, cyfrowym projekcie uśmiechu oraz estetycznych odbudowach metodą flow injection, jej uśmiech zyskał nową harmonię i naturalny blask.

Pacjent leczony ortodontycznie aparatami stałymi. Po kilkuletnim okresie noszenia aparatów retencyjnych podtrzymujących efekty leczenia wykonany został bonding w celu zamknięcia szpar pomiędzy zębami. Efektem jest bardzo naturalny, harmonijny uśmiech.

Pacjent leczony ortodontycznie aparatami stałymi. Dzięki systematycznemu leczeniu oraz dobrej współpracy pacjenta, w ciągu niespełna dwóch lat uzyskaliśmy bardzo estetyczny i harmonijny efekt ortodontyczny.

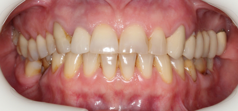
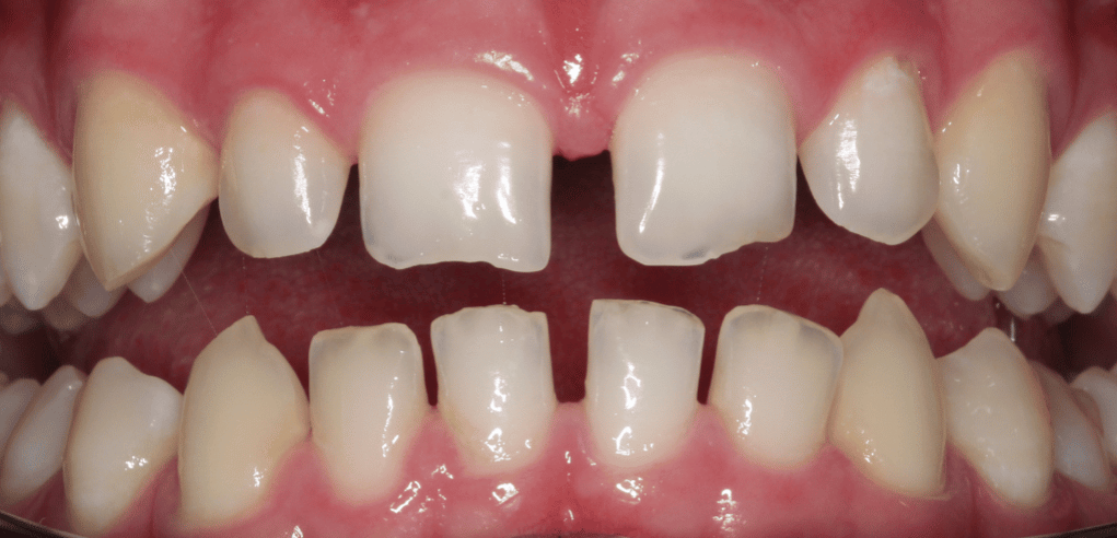
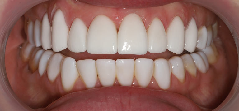
Pacjent  rozważał podjęcie leczenia ortodontycznego. Z powodu zaciskania zębów został skierowany na szynoterapię.  W kolejnym etapie wykonano zabieg wybielania gabinetowego, a następnie odbudowy estetyczne metodą flow-injection zamykające szpary. Uzyskano piękny naturalny efekt estetyczny.

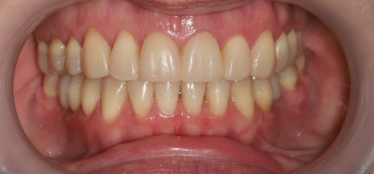
Pacjentka  marząca o Hollywood Smile. W pierwszym etapie leczona ortodontycznie aparatami stałymi: metalowym i estetycznym przez okres 1,5 roku. W dalszej kolejności przeprowadzono konsultację okluzyjną oraz ekwilibrację zgryzu. Pacjentka przebywała pod stałą opieką stomatologiczną oraz wykonywała regularnie zabiegi higienizacji, oraz zabieg wybielania gabinetowego. Po zaakceptowaniu cyfrowego projektu uśmiechu wykonano estetyczne odbudowy: licówki porcelanowe oraz flow injection.

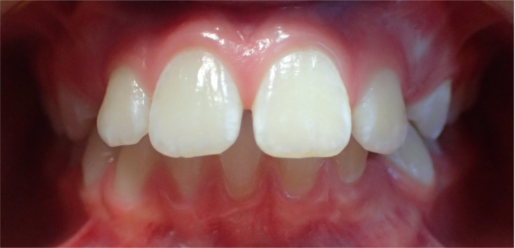
Pacjentka leczona początkowo aparatem zdejmowanym, a następnie górnym aparatem stałym. Po zakończonym leczeniu ortodontycznym zamknięto estetycznie przestrzenie w odcinku przednim, co znacząco poprawiło jej uśmiech i pewność siebie.

Pacjentka leczona aparatami nakładkowymi Invisalign.  Piękny, równy  uśmiech uzyskaliśmy w imponująco krótkim czasie około 10 miesięcy.

Pacjent leczył się stałymi aparatami rodowanymi  w obydwu łukach zębowych. Podczas leczenia ortodontycznego konieczne było usunięcie ósemek. Po noszeniu aparatów stałych pacjent zyskał bardziej równe zęby, a cały uśmiech wygląda naturalnie i harmonijnie.

Pacjentka leczyła się aparatami Invisalign, a po zakończonym etapie ortodontycznym zdecydowała się na odbudowy estetyczne.  Efektem jest trwały, piękny i  zdrowy uśmiech, idealnie dopasowany do  indywidualnych potrzeb Pacjentki. Dodatkowo, połączenie tego z odbudowami flow injection sprawiło, że jej uśmiech wygląda naturalnie i estetycznie.

U Pacjentki wykonaliśmy estetyczne  odbudowy flow injection.  Piękny efekt, harmonijny i  naturalny uśmiech oraz ogromne zadowolenie Pacjentki.  To naprawdę satysfakcjonujące widzieć,  jak efekt końcowy spełnia lub nawet przewyższa oczekiwania, a radość Pacjentki jest ogromna.

Po leczeniu aparatami Invisalign zostały wykonane odbudowy estetyczne metodą flow injection. Dzięki temu uzyskaliśmy piękny, olśniewający uśmiech. W efekcie udało nam się osiągnąć piękny, harmonijny uśmiech, który cieszy oczy i dodaje pewności siebie.

Pacjentka po leczeniu ortodontycznym aparatami stałymi przez okres 18 miesięcy. Uzyskaliśmy niesamowity efekt, piękny uśmiech  i zadowolenie naszej Pacjentki. Przeszła ona leczenie ortodontyczne za pomocą aparatów stałych, które trwało 18 miesięcy. Efekt końcowy był naprawdę wspaniały – uzyskaliśmy piękny uśmiech, a nasza Pacjentka była bardzo zadowolona z rezultatów.

W ciągu niespełna półtorarocznego leczenia aparatami stałymi uzyskaliśmy piękny i funkcjonalny uśmiech spełniając marzenie pacjentki.

Trwające 16 miesięcy leczenie ortodontyczne aparatami stałymi usunęło problemy pacjenta, głównie stłoczenia i retruzje. Udało nam się po raz kolejny sprostać wyzwaniom i dodać pewności siebie.

W początkowej fazie pacjent leczony aparatem ruchomym, a następnie aparatem invisalign. Uzyskany efekt spełnił w pełni nasze oczekiwania i przywracając funkcjonalny i estetyczny uśmiech.

Leczenie trwało niewiele ponad 2 lata. Efektem metamorfozy jest piękny i funkcjonalny uśmiech, niwelujący stłoczenia w dolnym i górnym łuku zębowym. Uzyskaliśmy wystarczająco miejsca dla kłów. Pacjent tryskał pewnością siebie i radością.

Pacjent w początkowej fazie leczony był aparatami ruchomymi, a następnie aparatami stałymi. Rotacje zębów, stłoczenia zostały zniwelowane i uzyskaliśmy piękny efekt.

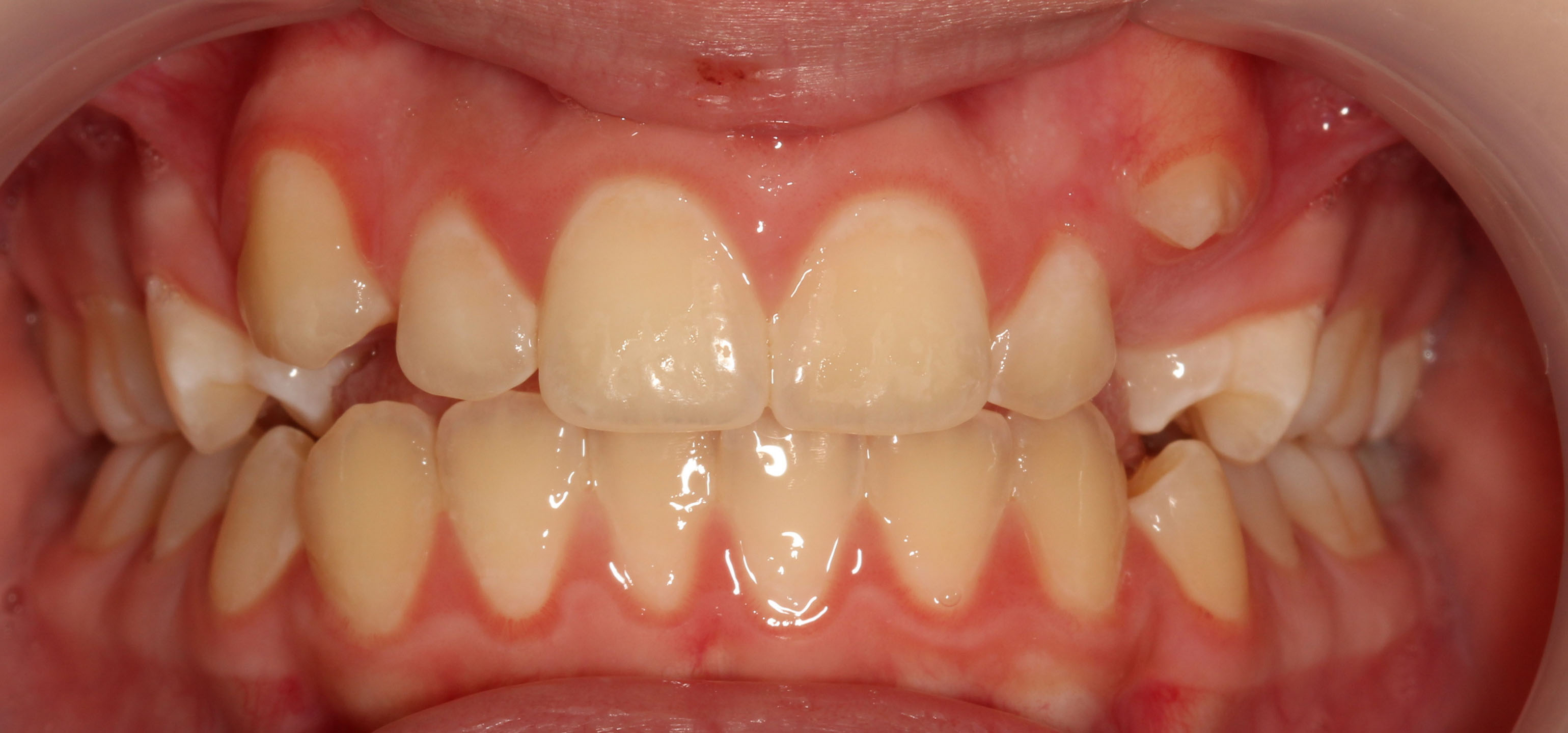
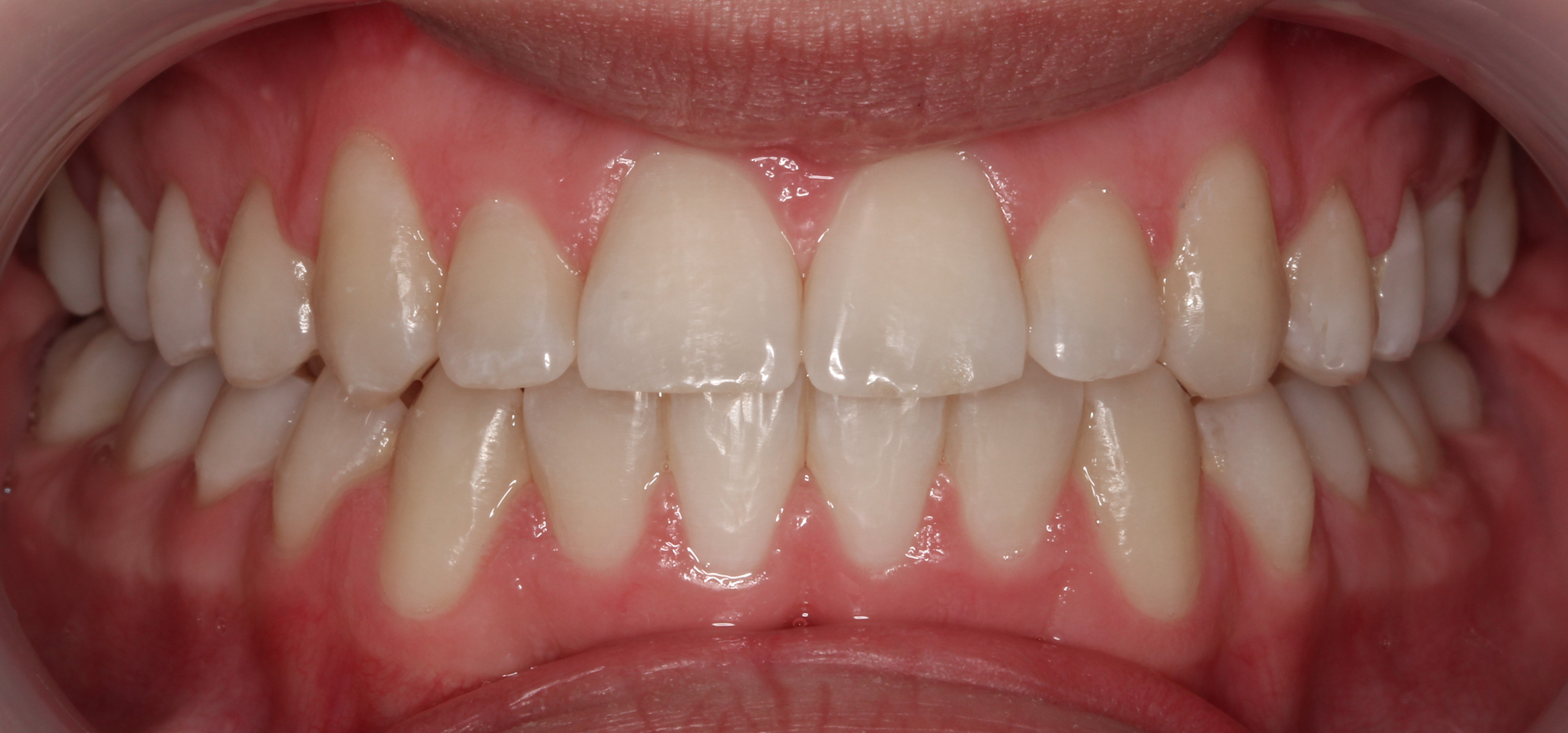
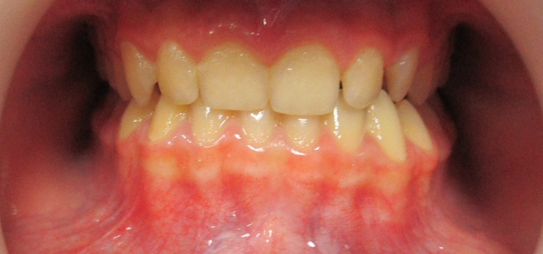
Mocne stłoczenie zębów w łuku dolnym
Mocne stłoczenie zębów w łuku dolnym

Mocne stłoczenie zębów w łuku dolnym, częściowy brak miejsca na kły. Zwężenie łuku górnego, brak miejsca na siekacze.

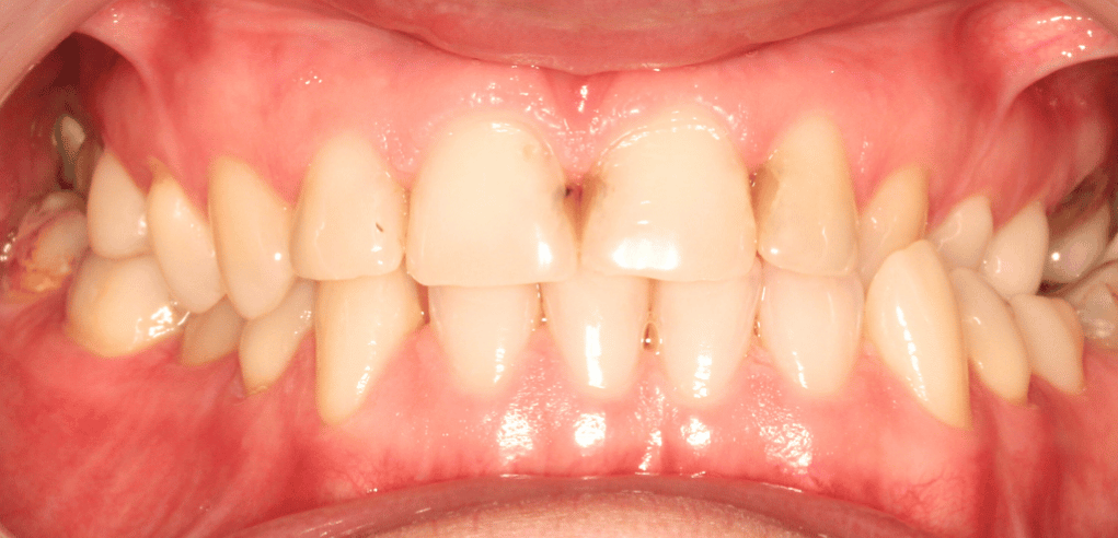
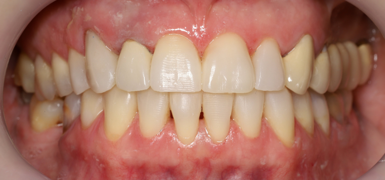
Leczenie bez usuwania zębów, aparatem stałym przez 2 lata i 11 miesięcy

Nina - zdjęcie przed
Nina - zdjęcie po

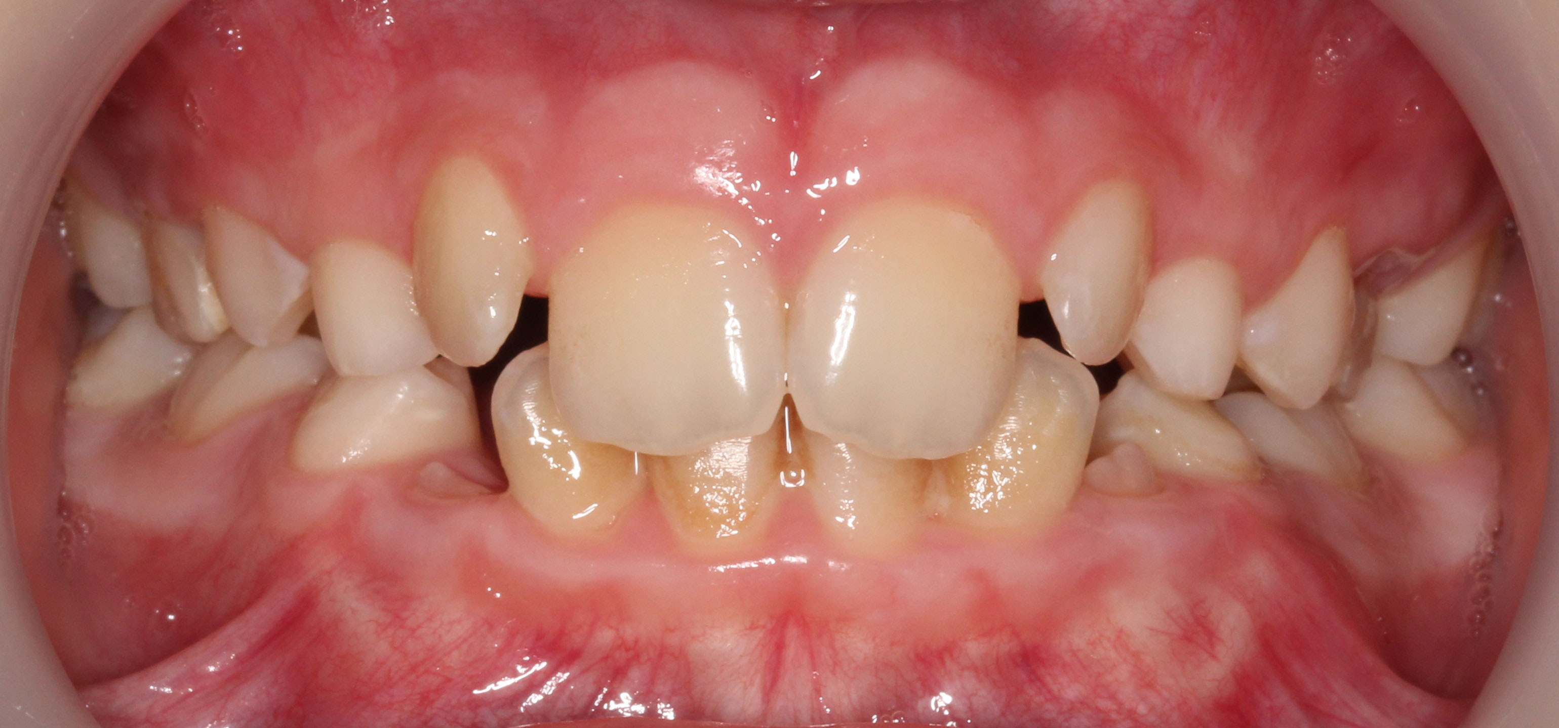
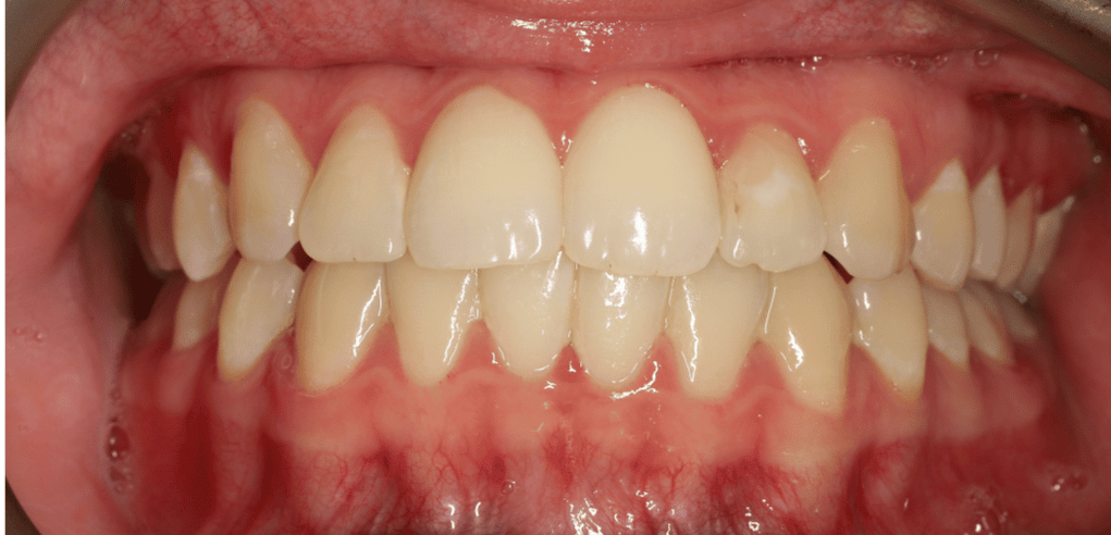
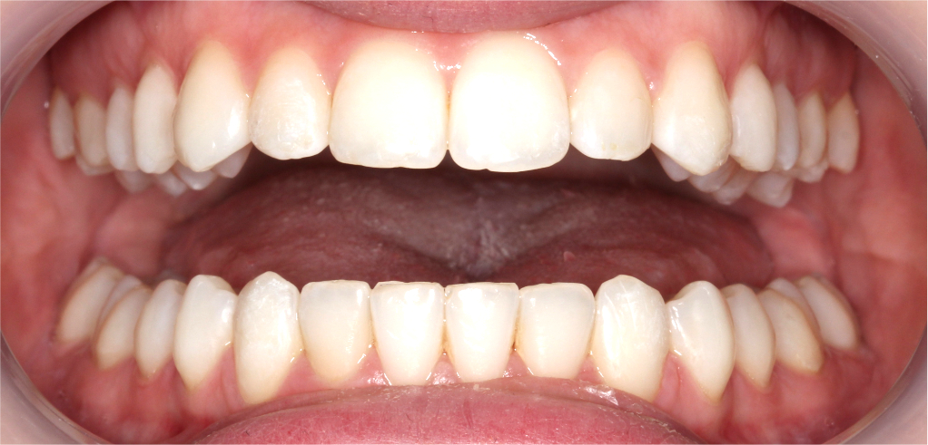
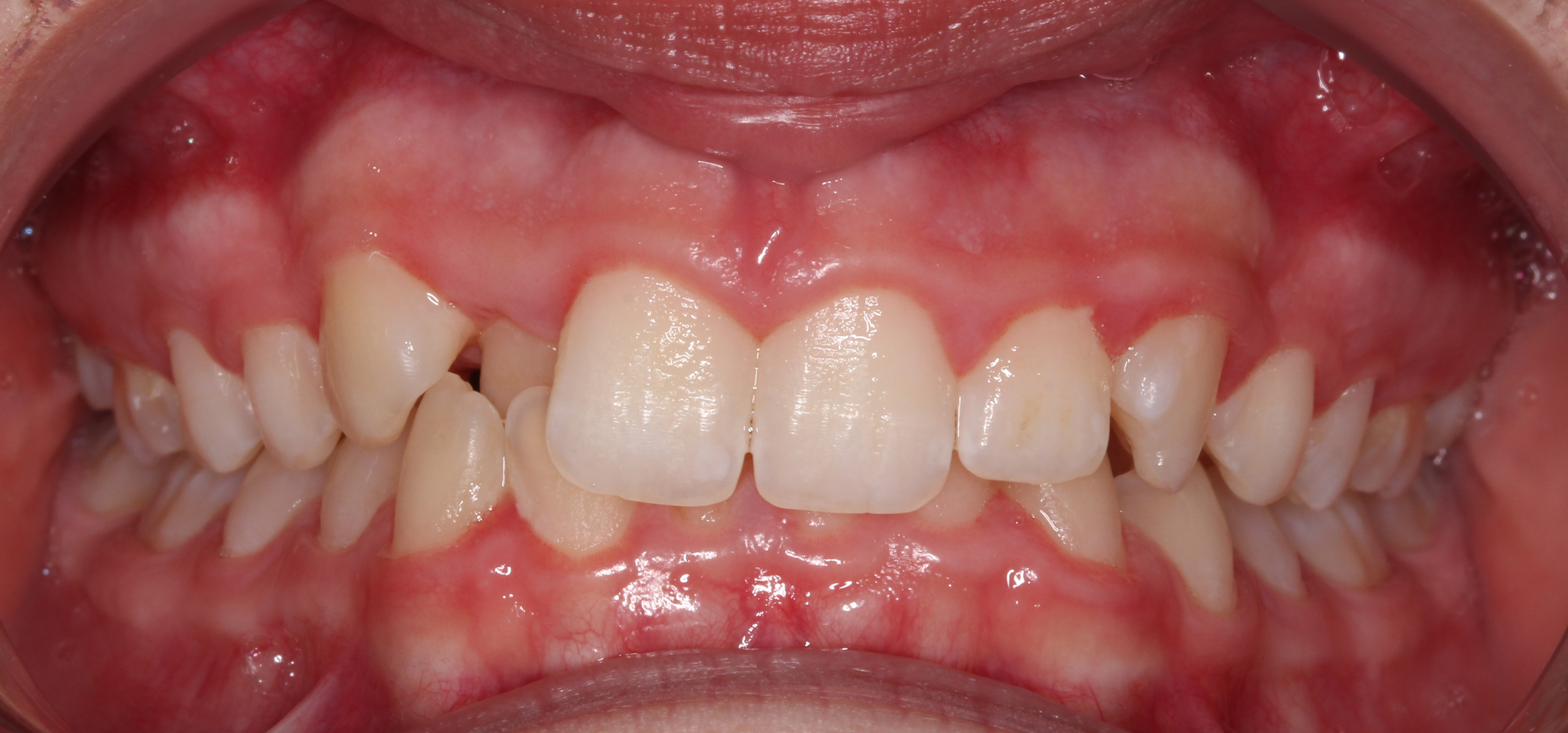
Zwężone łuki zębowe górny i dolny z mocnym stłoczeniem zębów, zgryz krzyżowy na siekaczach. Leczona aparatami stałymi rodowanymi – górny 15 miesięcy, dolny 11 miesięcy.

Julia - zdjęcie przed
Julia- zdjęcie po

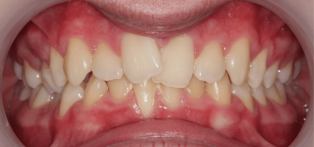
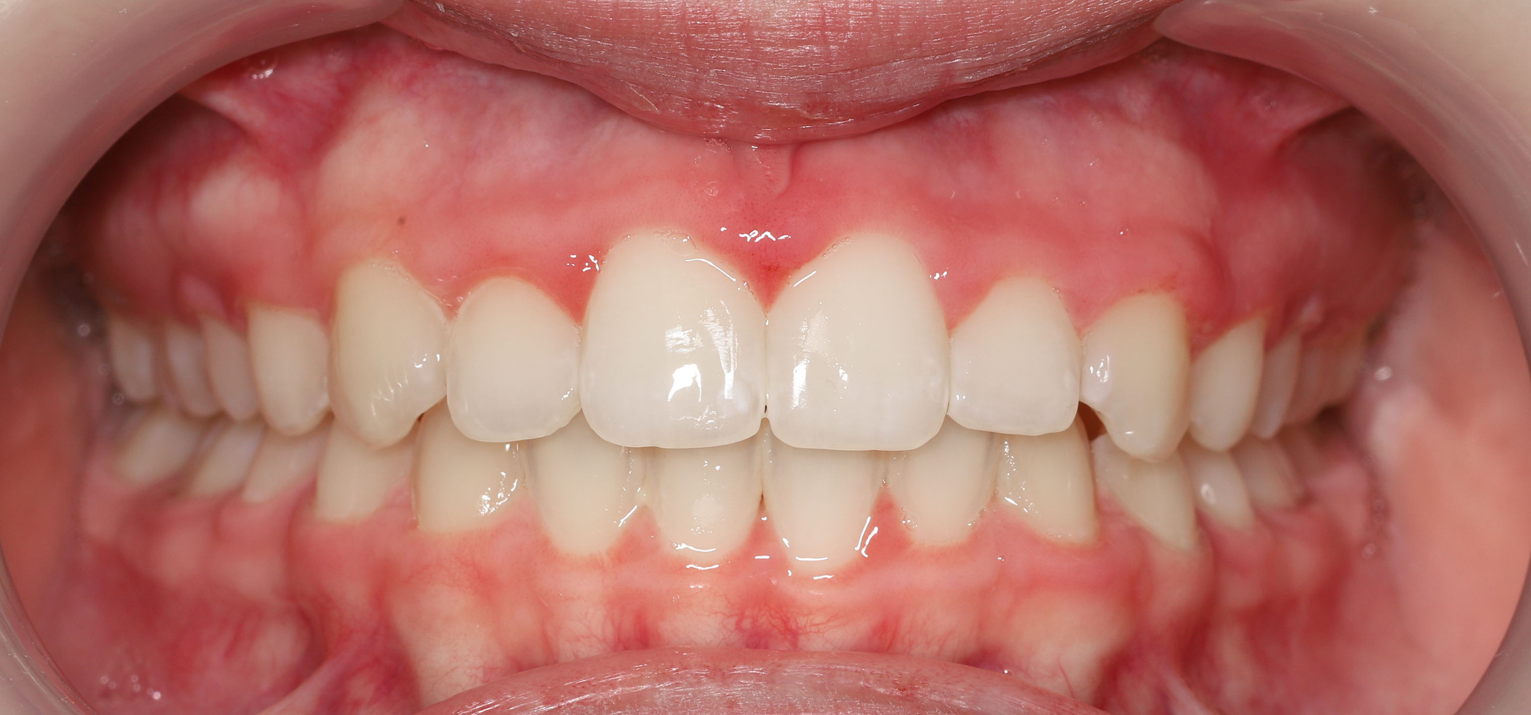
Duże stłoczenie zębów w łuku górnym i dolnym, zgryz krzyżowy. Leczona 24 miesiące aparatem stałym.

Karol - zdjęcie przed
Karol - zdjęcie po

Zwężone łuki zębowe szczęki i żuchwy z mocnym stłoczeniem zębów. Leczony aparatem stałym 26 miesięcy.

Wiktoria - zdjęcie przed
Wiktoria - zdjęcie po

Zwężenie łuków zębowych ze stłoczeniami zębowymi i brakiem miejsca na 2 zęby w łuku górnym, obustronny zgryz krzyżowy, Diastema. Leczenie aparatem stałym 23 miesiące.

Dominika - zdjęcie przed
Dominika - zdjęcie po

Tyłozgryz całkowity, z retruzją siekaczy dolnych, zwężenie łuków zębowych ze stłoczeniami zębowymi i cz. brakiem miejsca na kły, wielopoziomowa płaszczyzna zgryzu. Leczenie aparatem stałym 10 miesięcy.

Igor - zdjęcie przed
Igor - zdjęcie po
Kinga - zdjęcie przed
Kinga - zdjęcie po

Stłoczenie zębów w łuku górnym dolnym. Leczona aparatem Invisalign przez 11 miesięcy.

Zadzwoń już teraz

Rozwiejemy Twoje wątpliwości, umówimy dogodny termin.

+48 33 307 00 00